هل سبق لكم أن تعرضتم لالتهاب في اللثة؟ هل تساءلتم عن الأعراض التي قد تظهر؟ وهل ترغبون في معرفة المزيد عن أنواع التهاب اللثة المختلفة ومدى خطورتها؟ إذاً، فأنتم في المكان المناسب. في هذا المقال، سنقدم لكم نظرة شاملة على أنواع التهاب اللثة المختلفة، بما في ذلك الأسباب والأعراض وأيضاً خيارات العلاج المتاحة. فلنستعرض سوياً كيف يمكن التعامل مع هذه المشكلة بكفاءة وفعالية.
ما هو التهاب اللثة؟
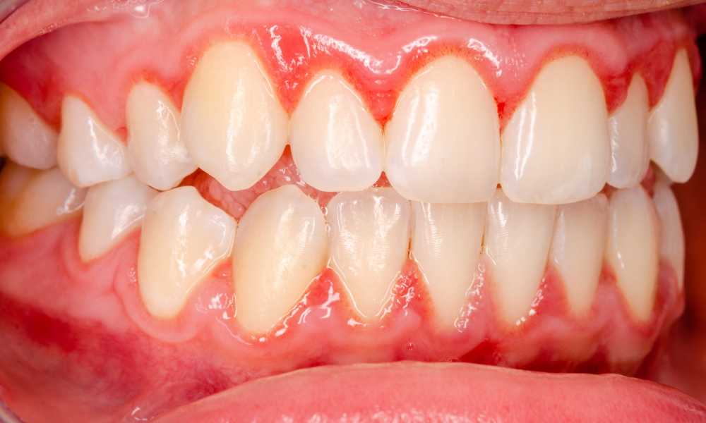
قبل أن نتعرف على أنواع التهاب اللثة أعزائي القراء دعونا أولاً نعرف إلامَ يشير مصطلح التهاب اللثة؟ فالبعض قد يقول أنه على سبيل المثال احمرار اللثة، بينما البعض يعتقد أنه تورم اللثة، وهناك فئة أخرى تعتقد أن الخرّاج هو التهاب اللثة، وعليه نوضح بأن التهاب اللثة يعني التهاب وعدوى وتضرر أنسجة اللثة والأنسجة الداعمة للأسنان، وهو مصطلح شامل لنوعين أساسيين من أمراض اللثة، وهما التهاب اللثة Gingivitis والتهاب دواعم السن Periodontitis.
أنواع التهاب اللثة
سنقدم فيما يلي أنواع التهاب اللثة بالصور المعروفة طبياً بأمراض اللثة وهي:
التهاب اللثة Gingivitis
وهو النوع الأكثر شيوعاً لالتهاب اللثة حيث أنه الشكل الأخف والأبسط منه، وعادة ما يكون أبرز ما يميزه احمرار وتهيج اللثة، وعادة ما يحدث بشكل أساسي نتيجة لسوء نظافة الفم وتراكم البلاك (لذا ينصح الأطباء دوماً بالتنظيف المنتظم واستخدام خيط الأسنان لإزالته)، وقد يحدث على سن أو أكثر أو على جميع الأسنان، وعلى الرغم من عدم حدته، لكن إذا تم ترك هذا النوع دون علاج لفترات طويلة فمن الممكن أن يتحول إلى النوع الأكثر خطورة وهو التهاب دواعم السن.

التهاب دواعم السن Periodontitis
هذا هو النوع الأكثر شدّة وخطورة من التهاب اللثة، والذي قد ينتج إذا لم يتم علاج وإدارة النوع الأول لفترات طويلة جداً، وقد يؤدي التهاب دواعم السن إلى فقدان الأسنان وتدمير الأنسجة وعظام الفم أيضاً ويعتبر هو السبب الأول لفقدان الأسنان لدى البالغين وفقاً للمعاهد الوطنية للصحة.
ما هي أنواع التهاب اللثة من الداخل
- التهاب اللثة السطحي: وهو التهاب يحدث في الطبقة السطحية من اللثة دون انتشار إلى الأنسجة العميقة.
- التهاب اللثة العميق: ويصنف عادةً كالتهاب اللثة المتقدم، حيث يؤثر على الأنسجة العميقة وقد يسبب فقدان العظم الفكي.
- التهاب اللثة الناتج عن تجمع الجير: وهو نوع من التهابات اللثة الذي يحدث بسبب تجمع الجير والبلاك على سطح الأسنان وحول اللثة.
- التهاب اللثة السيطري: وهو نوع نادر من التهاب اللثة يؤدي إلى تورم اللثة ونزيفها بشكل مفرط وقد يكون مؤشرًا على وجود مشاكل صحية أكثر خطورة.
أسباب التهاب اللثة البسيط
بالإضافة أعزائي القراء إلى سوء نظافة الفم كما ذكرنا، فإن الأسباب التالية من الممكن أن تؤدي أيضاً إلى الإصابة بالتهاب اللثة البسيط:
- مرض السكري غير المنضبط.
- الإصابة بفيروس نقص المناعة البشرية.
- بعض الأمراض والالتهابات.
- بعض الأدوية.
- انحراف وسوء تموضع الأسنان.
- الحشوات الخشنة وغير الملائمة.
- أجهزة الفم غير النظيفة أو غير المناسبة.
أعراض التهاب اللثة البسيط
من أهم أعراض التهاب اللثة البسيط الشائعة ما يلي:
- احمرار اللثة ولمعانها.
- تورم اللثة.
- نزيف اللثة خاصة عند تنظيفها بالفرشاة.
- تحسس اللثة.
- رائحة الفم الكريهة.
- تقرحات الفم.
علاج التهاب اللثة البسيط
عادة ما يشمل علاج التهاب اللثة البسيط احتياطات وممارسات نظافة الفم الجيدة والمنتظمة، بما في ذلك استخدام الفرشاة والمعجون، وخيط تنظيف الأسنان، وأيضاً غسول الفم المناسب، بالإضافة إلى تنظيف الأسنان الاحترافي وإزالة الجير عند الطبيب.

أنواع التهاب اللثة الشديد
أما بالنسبة إلى الشكل الأشد من التهاب اللثة وهو التهاب دواعم السن، فإنه في حد ذاته ينقسم إلى عدة أنواع وأشكال كما يلي:
- التهاب دواعم السن المزمن: وهو الشكل الأكثر شيوعاً والذي يتميز بانحسار اللثة وتكوين الجيوب.
- التهاب دواعم السن العدواني: ويتميز بسرعة فقدان اللثة وتدمير عظام الفم.
- التهاب دواعم السن الناخر: يتميز بموت أنسجة وأربطة اللثة والتهاب العظم السنخي مما يتسبب بحدوث آفات.
- التهاب دواعم السن الناتج عن الأمراض الجهازية: وهو يرتبط بأمراض القلب والسكري وأمراض الجهاز التنفسي.
أعراض أنواع التهاب اللثة الشديد
بالإضافة إلى تلك الأعراض التي تم ذكرها في التهابات اللثة البسيط من احمرار وتورم اللثة وظهورها بلون أحمر زاهي إلى حد ما وتحسسها، تشمل أيضاً حالات التهاب دواعم السن الأعراض التالية:
- انحسار اللثة وتراجعها عن الأسنان.
- تخلخل الأسنان.
- تفكك اللثة.
- ظهور مساحات وفراغات بين الأسنان.
- ظهور صديد حول الأسنان.
- ألم واضح في اللثة.
- طعم سئ في الفم مع رائحة كريهة.
- في الحالات الشديدة من العدوى قد يكون هناك ارتفاع في درجة الحرارة.
علاج أنواع التهاب اللثة الشديد
عادة ما تنقسم طرق العلاج هنا في حالات التهاب دواعم السن إلى علاجات جراحية وأخرى غير جراحية كما يلي:
العلاج غير الجراحي
تشمل أهم طرق العلاج غير الجراحي لالتهابات اللثة الشديدة ما يلي:
- المضادات الحيوية: سواء عن طريق دهان جل مخصص على اللثة أو المضادات الحيوية التي يتم تناولها عن طريق الفم.
- التقشير: وذلك لإزالة طبقة الجير وتنظيف الأسنان باحترافية.
- تنعيم أسطح الجذور: يتم ذلك للحد من تراكم البكتيريا والجير عليها.

العلاج الجراحي
أما بالنسبة إلى الطرق الطبية الجراحية للعلاج، والتي يتم تحديدها بعد الكشف والتشخيص، فإن من أهمها ما يلي:
- جراحة تصغير الجيوب: والتي تتم لشد أنسجة اللثة الخلفية وكشف الجذور من أجل تنظيفها بفاعلية أكبر، ويمكن إعادة تشكيل العظم السفلي بحيث يكون من الأسهل تنظيف المنطقة المحيطة باللثة.
- ترقيع الأنسجة الرخوة: ويتم عن طريق أخذ كمية صغيرة جداً من الأنسجة من سقف الفم لتطعيم اللثة بها وتقليل فقدان أنسجة اللثة.
- ترقيع العظام: يتم ذلك عندما يتدمر العظم المحيط بجذر السن ويكون الهدف منه الحماية من فقدان الأسنان.
- تجديد الأنسجة الموجّه: يتم هذا العلاج بهدف إعادة نمو العظام عن طريق استخدام نسيج متوافق حيوياً يوضع بين العظم والأسنان لمنع نمو أنسجة غير مرغوب بها حتى تنمو العظام بشكل سليم.
- تطبيق مشتق مصفوفة المينا Enamel matrix derivative application: هذا الإجراء يعتبر شكل آخر من تجديد الأنسجة الموجه يتضمن وضع مادة هلامية على جذر سن مصاب لتحفيز نمو أنسجة صحية، ويحتوي هذا الهلام أو الجل على نفس البروتينات المتواجدة بشكل طبيعي في نمو وتطور مينا الأسنان.
هل يمكن الوقاية من أنواع التهاب اللثة المختلفة؟
تكمن كلمة السر للوقاية من التهاب اللثة بنوعيه الخفيف والشديد في الاهتمام بنظافة الفم الجيدة، وذلك من خلال:
- تنظيف الأسنان مرتين يومياً وبعد الوجبات بالفرشاة والمعجون.
- استخدام خيط الأسنان وأعواد الأسنان لإزالة الجير وبقايا الطعام بشكل دوري.
- إجراء تنظيف احترافي للجير عند الطبيب كل ستة أشهر.
- استخدام غسول الفم لتطهيره والوقاية من تراكم البكتيريا.
- الأشخاص الذين يتناولون أدوية ضغط الدم أو المدخنون أو الذين يعانون من جفاف الفم قد يكون من المهم لهم إجراء تنظيف احترافي للجير بشكل أكثر، عادة كل ثلاثة أشهر في المتوسط.
وفي ختام هذا المقال، نأمل أن تكونوا قد استمتعتم واستفدتم من المعلومات التي قدمناها لكم حول أنواع التهاب اللثة وطرق علاجها. لا تترددوا في التواصل معنا إذا كانت لديكم أي استفسارات إضافية أو إذا كنتم تفكرون في حجز موعد للمزيد من المعالجة والاستشارة. نحن هنا لمساعدتكم وتقديم الدعم اللازم للحفاظ على صحة فموية جيدة ولثة سليمة.
