
علاج التهاب اللثة بـ 3 طرق ونصائح هامة
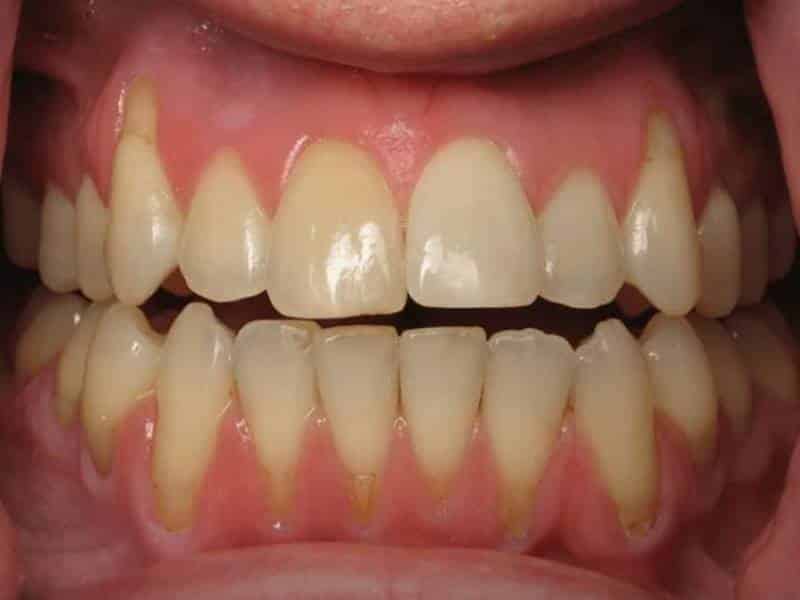
كيف يمكننا علاج التهاب اللثة؟ سؤالٌ يستحق النقاش خاصةً أن أمراض اللثة من المشاكل التي تتطور بمرور الوقت وقد تؤدي إلى تلف الأنسجة الداعمة للأسنان

كيف يمكننا علاج التهاب اللثة؟ سؤالٌ يستحق النقاش خاصةً أن أمراض اللثة من المشاكل التي تتطور بمرور الوقت وقد تؤدي إلى تلف الأنسجة الداعمة للأسنان

هل سبق لكم أن تعرضتم لالتهاب في اللثة؟ هل تساءلتم عن الأعراض التي قد تظهر؟ وهل ترغبون في معرفة المزيد عن أنواع التهاب اللثة المختلفة

هل نزيف اللثة خطير؟ تعد مشاكل اللثة من المشكلات الصحية الشائعة التي قد نغفل عنها ونهمل في علاجها، ولكنها لها دور حيوي في صحة الفم،

إذا كنت تشعر بالألم أو الانزعاج في فمك؛ فقد يكون السبب في ذلك التهاب اللثة أو الأسنان والتي تُعد واحدة من المشكلات التي تتطلب تدخلًا

هل لاحظت أن السن يبدو أطول من اللازم وأصبحت تعاني من نزول الأسنان وتراجع في اللثة؟ إذا كانت الإجابة بنعم، فهذا ما يسمى بانحسار أو

يزيد الضحك من معدلات ضربات القلب والتنفس واستهلاك الأكسجين خلال فترة قصيرة، وبعدها يشعر الأنسان بالاسترخاء. تخيل لو أن لديك ضحكة لثوية تظهر اللثة بشكل
ميديكال سنتر ٣ بجوار مدرسة منارة هليوبوليس الدور الأول.
ايليت ميديكال سنتر- بجوار بوابة 6 – الدور التانى 2048
قطعه 63 – شارع مصر النور مجاورة 71
All Rights Reserved Rident , Developed and Designed by Be Group